We had the pleasure of collaborating with the University of Queensland on this research project. Our collaborative work was published by the CSIRO in 2018, in the journal of Reproduction, Fertility, and Development. To read the full article, please click here. Also available online at CSIRO. doi: 10.1071/RD17539 Abstract The poor captive breeding success of...
Category: Information
Reproductive biology of captive Southern Hairy-Nosed Wombats (Lasiorhinus latifrons). Part 1: Oestrous cycle characterisation
We had the pleasure of collaborating with the University of Queensland on this research project. Our collaborative work was published by the CSIRO in 2018, in the journal of Reproduction, Fertility, and Development. To read the full article, please click here. Also available online at CSIRO. doi: 10.1071/RD17497 Abstract Southern hairy-nosed wombats (SHNWs: Lasiorhinus latifrons)...
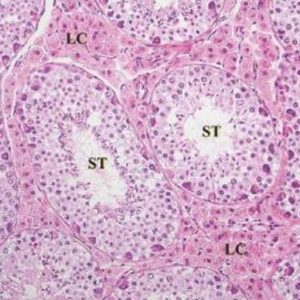
The seminiferous epithelial cycle and microanatomy of the Koala (Phascolarctos cinereus) and Southern Hairy-Nosed Wombat (Lasiorhinus latifrons) testis
We had the pleasure of collaborating with the University of Queensland on this research project. Our collaborative work was published in the Journal of Anatomy, 2013. To read the full article, please click here. Also available online at PubMed. J. Anat. (2013) 222, pp380–389 doi: 10.1111/joa.12020 Abstract The koala (Phascolarctos cinereus) and southern hairy-nosed wombat...
Southern Hairy Nose Wombat
The Southern Hairy-nosed Wombat is Queensland’s most endangered marsupial with a population of approximately 200 known individuals. By studying the closely related Southern Hairy-nosed Wombat, AACE contributes to gathering fundamental biological knowledge to aid in developing advanced breeding technologies that can be used to establish self-sustaining captive populations of both species. In 2009 a captive...
Bridled Nailtail Wallabies
The bridled nail-tail wallaby (Onychogalea fraenata), also known as the bridled nail-tailed wallaby, bridled nailtail wallaby, bridled wallaby, Merrin, and Flashjack, is an endangered species of macropod. It is a small wallaby found in three isolated areas in Queensland, Australia, whose population is rapidly declining. The total population of the species is currently estimated to...
Behavioral and endocrine responses to season and social dynamics of captive male Southern Hairy-Nosed Wombats (Lasiorhinus latifrons)
We had the pleasure of collaborating with the University of Queensland on this research project. Our collaborative work was published in the Journal of General and Comparative Endocrinology, Volume 261, in May 2018. To read the full article, please click here. Also available online at DOI: 10.1016/j.ygcen.2018.01.021 Abstract Although southern hairy-nosed wombats (SHN wombats; Lasiorhinus latifrons)...
Validation of techniques to measure reproductive hormones in the urine of female southern hairy-nosed wombats (Lasiorhinus latifrons)
We had the pleasure of collaborating with the University of Queensland on this research project. Our collaborative work was published in the Journal of General and Comparative Endocrinology, Volume 252, in October 2017. To read the full article, please click here. Also available online at DOI: 10.1016/j.ygcen.2017.08.003 Highlights Urinary hormone analysis may increase our understanding...
Measurement of testosterone and cortisol metabolites and luteinising hormone in captive Southern Hairy-Nosed Wombat (Lasiorhinus latifrons) urine
We had the pleasure of collaborating with the University of Queensland on this research project. Our collaborative work was published in the Journal of General and Comparative Endocrinology, Volume 250, in September 2017. To read the full article, please click here. Also available online at DOI: 10.1016/j.ygcen.2017.06.001 Abstract This study reports the validation and use...
Long-term measurement of body temperature in the southern hairy-nosed wombat (Lasiorhinus latifrons)
We had the pleasure of collaborating with the University of Queensland on this research project. Our collaborative work was published in the Journal of Australian Mammology, in August 2016. To read the full article, please click here. Also available online at DOI: 10.1071/AM15041 Abstract The southern hairy-nosed wombat (Lasiorhinus latifrons) is a nocturnal, fossorial marsupial...
Non-invasive urine collection in the female Southern Hairy-Nosed Wombat (Lasiorhinus latifrons) with the aid of classical conditioning
We had the pleasure of collaborating with the University of Queensland on this research project. Our collaborative work was published in the Journal of Zoo Biology, in September 2014. To read the full article, please click here. Also available online at DOI: 10.1002/zoo.21171 Abstract We propose that regular urine samples can be used to monitor...









